The botched efforts to stop #coronavirus and #climatechange — @HighCountryNews #COVID19

From The High Country News [March 25, 2020] (Jonathan Thompson):

In the time of coronavirus, I headed to southern Utah’s remote canyon country to do some extreme social distancing.

All I knew when I emerged a few days later in western Colorado was that the world was … confusing. I half-expected to find empty highways and shuttered businesses. What I witnessed was an armada of black SUVs, loaded down with passengers and skis, all headed to the resort town of Telluride. This was mid-March.

Clearly, a lot of folks were determined not to let a deadly pandemic get in the way of their ski vacation. It occurred to me then that perhaps things weren’t so bad, after all. If that many people were still headed for the slopes, the crowded restaurants, bars, and supersized petri dishes — er, hot tubs — then surely the danger of the virus had passed, right? Wrong.

When the author emerged from a solo Utah trip into western Colorado, he expected to find deserted streets and towns. Instead, he found people, in mid-March, stocking up for their regular ski vacations. Colorado Gov. Jared Polis has since closed down the state’s ski areas, seemingly the only effort that would prevent vacationers from flocking to their favorite spots. Curtis Gregory Perry

What I was witnessing was just one instance of an ad hoc, failed response to a crisis. It resembled a magnified version of the global response to climate change in which half the population is in panic mode, while the other half insists on life as usual.

I saw this play out in even starker relief in the supermarket in Montrose, which serves as a supply town for mountain towns to the south, including Telluride. The parking lot was packed, and at first glance things inside seemed fairly typical for a ski season Saturday. The avocados and bell peppers were stacked high in the produce section, and the fancy cheese bin was overflowing. Then I noticed the potatoes were all gone.

I hurried back to the rice and beans aisle only to find what I ascertained to be high-risk folks — older, frail-looking — staring at empty shelves. It was the same with the dried pasta section, where all that remained were a few boxes of gluten-free stuff. I grabbed them and anything else that would give me sustenance for the next week or so while I lived and worked out of my car.

Back out in the parking lot a massive Cadillac Escalade and a handful of Chevy Suburbans were lined up in front of the liquor store. One woman told her companion to move the car closer because “we’ve got way too much to carry.”

Then it felt like a cascade: Meetings were canceled, my kids were being ordered to vacate their college dorms immediately, giving them little choice but to get on planes and fly across the ocean back to Bulgaria, where I live. Restaurants were shutting down. Meanwhile, the ski vacationers were stocking up on booze. Did they think they’re immune? Or did they believe President Trump when he first downplayed the virus, even calling it a hoax?

It’s tempting simply to roll one’s eyes: They’ll get what they deserve, while those who hole up in their houses and try to do their part to mitigate the virus’s spread will stay healthy.

Unfortunately, it doesn’t work that way. By continuing on with their lives, the vacationers could negate the efforts of the conscientious crowd, and likely spread the virus to the people working in the restaurants, hotels and shops.

Climate change is no different. It does little good for one person to reduce their carbon footprint if all around them everyone else — with the encouragement of the federal government — drills for oil, burns natural gas or coal and consumes without limits, as if the climate catastrophe were just another media fixation.

What we need to battle both this virus and climate change is a coordinated, society-wide response. We need leaders who aren’t afraid of taking bold, decisive action, regardless of how it might impact the stock market or the bottom line of political donors. It truly is a matter of life and death.

That same day, March 14, Colorado Gov. Jared Polis took decisive action: He ordered every ski area in the state to shut down and then imposed restrictions on public gathering places. San Juan County, home of Telluride, went farther: mandatory lock down, shelter in place, all tourists and non-residents must leave, and mandatory testing of the entire population by a private company.

Now we just need the same kind of resolve to tackle the climate crisis.

Jonathan Thompson is a contributor to Writers on the Range.org, a nonprofit dedicated to spurring lively conversation about Western issues. He is a freelance writer and author of the forthcoming novel, Behind the Slickrock Curtain. Email High Country News at editor@hcn.org.

How our team isolated the new coronavirus to fight the global pandemic — ScienceX.com

Coronaviruses get their name from the crown, or corona, of spikes that adorn the outer surface of the virus, as seen on this illustration of a highly magnified virus. Credit: U.S. Centers for Disease Control and Prevention

From ScienceX.com (Karen Mossman):

As most people rush to distance themselves from COVID-19, Canadian researchers have been waiting eagerly to get our (gloved) hands on the hated virus.

We want to learn everything we can about how it works, how it changes and how it interacts with the human immune system, so we can test drugs that may treat it, develop vaccines and diagnostics and prevent future pandemics.

This is what researchers live to do. Much of our everyday work is incremental. It’s important and it moves the field forward, but to have a chance to contribute to fighting a pandemic is especially inspiring and exciting.

The secret lives of viruses

Viruses are fascinating. They are inert microscopic entities that can either hide out, innocuous and undetected, or wreak pandemic havoc.

They are simultaneously complex and simplistic, which is what makes them so interesting — especially new, emerging viruses with unique characteristics. Researching viruses teaches us not only about the viruses we study, but also about our own immune systems.

The emergence of a new coronavirus in a market in Wuhan, China, in December 2019 set in motion the pandemic we are now witnessing in 160 countries around the world. In just three months, the virus has infected more than 360,000 people and killed more than 16,000.

Viral isolation

The outbreak sent researchers around the world racing to isolate laboratory specimens of the virus that causes COVID-19. The virus was later named severe acute respiratory syndrome coronavirus 2, or SARS-CoV-2.

In countries that experienced earlier outbreaks, including China, Australia, Germany and the United States, researchers were able to isolate the virus and develop their own inventories of SARS-CoV-2, but logistical and legal barriers prevented them from readily sharing their materials with researchers beyond their borders.

What Canadian researchers needed to join the fight in earnest was a domestic supply of clean copies of the virus—preferably from multiple Canadian COVID-19 cases. Even in a pandemic, developing such a supply is not as easy as it might sound, and multiple teams in Canada set out to isolate and develop pure cultures of the virus, not knowing which would be successful, or when.

Ultimately two teams in Canada would isolate the virus for study: one at the University of Saskatchewan and one that featured researchers from McMaster University, Sunnybrook Health Sciences Centre and the University of Toronto.

Arinjay Banerjee, a postdoctoral research fellow at McMaster who typically works in my virology lab, volunteered his special expertise. We were proud to have him share his talent with the team in Toronto, where he set to work with physicians and researchers Samira Mubareka, Lily Yip, Patryk Aftanas and Rob Kozak.

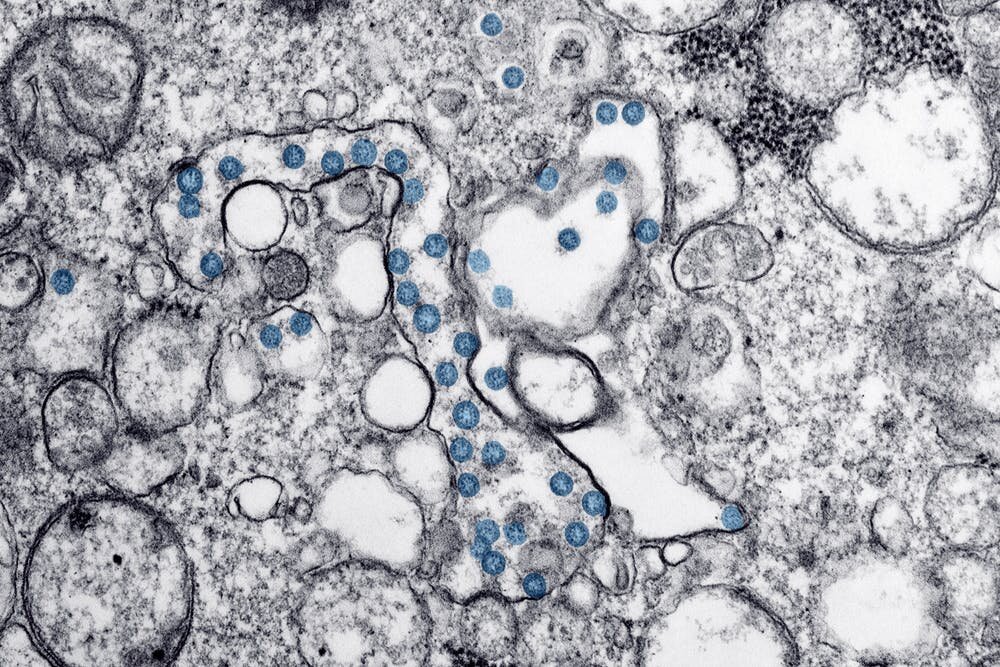
Transmission electron microscopic image of an isolate from the first U.S. case of COVID-19. The spherical viral particles, colourized blue, contain cross-sections through the viral genome, seen as black dots. Credit: U.S. CDC

For Banerjee, it was like a batter being called to the plate with the score tied in the bottom of the ninth. He had come to work at McMaster because of its Institute for Infectious Disease Research and its Immunology Research Centre, and because the university maintains a research colony of bats.

Banerjee’s Ph.D. work at the University of Saskatchewan, and now at McMaster, has focused on bats and how their viruses, including coronaviruses, interact with bat and human antiviral responses. Over the past few years, studies have shown that bat coronaviruses have the capacity to infect human cells. Multiple researchers had predicted a coronavirus that would evolve and jump into humans.

Ideal viral conditions

Isolating a virus requires collecting specimens from patients and culturing, or growing, any viruses that occur in the samples. These viruses are obligate intracellular parasites, which means that they can only replicate and multiply in cells. To isolate a particular virus, researchers need to provide it with an opportunity to infect live mammalian cells, in tiny flasks or on tissue culture plates.

Viruses adapt to their hosts and evolve to survive and replicate efficiently within their particular environment. When a new virus such as SARS-CoV-2 emerges, it isn’t obvious what particular environment that virus has adapted to, so it can be hard to grow it successfully in the lab.

We can use tricks to draw out a virus. Sometimes the tricks work and sometimes they don’t. In this case, the researchers tried a method Banerjee and the team had previously used while working on the coronavirus that causes Middle Eastern Respiratory Syndrome: culturing the virus on immunodeficient cells that would allow the virus to multiply unchecked. It worked.

Since specimens from patients are also likely to contain other viruses, it is critical to determine if a virus growing in the culture is really the target coronavirus. Researchers confirm the source of infection by extracting genetic material from the virus in culture and sequencing its genome.

They compare the sequence to known coronavirus sequences to identify it precisely. Once a culture is confirmed, researchers can make copies to share with colleagues.

All this work must be done in secure, high-containment laboratories that mitigate the risk of accidental virus release into the environment and also protect scientists from accidental exposure. The more versions of a virus that can be isolated, the better. Having multiple virus isolates allows us to monitor how the virus is evolving in humans as the pandemic progresses. It also allows researchers to test the efficacy of vaccines and drugs against multiple mutations of the virus.

Canadian viral strains

Both the Saskatchewan and Ontario teams are now able to make and share research samples with other Canadian scientists, enabling important work to proceed, using a robust domestic supply that reflects the evolving virus in its most relevant mutations.

That in turn gives Canadian researchers a fighting chance to deliver a meaningful blow to COVID-19 while there is still time. I’m glad our colleagues at other Canadian institutions will also have versions of the virus to use in their research.

There is still so much work for all of us to do.

#Drought news: Some D1 (Moderate Drought) erased in NW #Colorado

Click on a thumbnail graphic to view a gallery of drought data from the US Drought Monitor.

Click here to go to the US Drought Monitor website. Here’s an excerpt:

This Week’s Drought Summary

Storms delivered much-needed precipitation to California’s key watershed areas before soaking an area from the southeastern Plains into the Ohio and Tennessee Valleys with as much as 2 to 4 inches of rain. Some of the rain overlapped existing drought areas in southern Texas, providing substantial relief. Widespread precipitation also fell across the remainder of the West, except in the northern Rockies. Significant precipitation was also noted in Iowa and environs, while wind-driven snow blanketed parts of northeastern Colorado and western Nebraska. In contrast, warm, dry weather dominated the lower Southeast, including Florida, boosting irrigation demands and further reducing topsoil moisture. Weekly temperatures averaged more than 10°F above normal in many areas from the central Gulf Coast into the Southeast, contributing to further introduction or intensification of abnormal dryness (D0) and moderate to severe drought (D1 to D2)…

High Plains

Dryness (D0) and moderate to severe drought (D1 to D2) remains mostly confined to the southwestern part of the region, although a spot of D0 was introduced in northwestern North Dakota. On March 19, a spring storm delivered wind-driven snow to parts of northeastern Colorado and western Nebraska. Denver, Colorado, reported 6.0 inches of snow on that date, along with a peak northerly wind gust to 49 mph. Some snow fell in the region’s mountainous areas, but there was little overall change in the drought depiction, except for some removal of moderate drought (D1) in northwestern Colorado…

West

It was an active drought-monitoring period in the West, although northern sections of the region received little or no precipitation. During the 10-day period ending March 24, the average water equivalency of the Sierra Nevada snowpack rose from 10 to 14 inches, according to the California Department of Water Resources, representing an improvement from just over one-third of the mid-March normal to about one-half of the late-March normal. Meanwhile, several rounds of heavy precipitation also struck southern California and the Desert Southwest, resulting in modest reductions in drought severity. While the late-season precipitation has reduced irrigation demands and has provided a nice boost in soil moisture and snowpack, the moisture is generally too late for drought-stressed rangeland that has already lost forage yield potential due to winter drought. Farther north, drought slightly expanded in northwestern California and western Oregon, as below-normal seasonal precipitation was reflected by dry soils, sub-par snowpack, and unusually low streamflow. Patches of dryness and drought also stretched from the eastern slopes of the Cascades onto the northern High Plains…

South

Heavy rain across interior southern Texas provided significant drought relief. According to the U.S. Department of Agriculture, statewide topsoil moisture rated very short to short stood at 19% in Texas on March 22, down from 40% the previous week. On the same date, 49% of the winter wheat in Texas was rated in good to excellent condition. In southern Texas, a small patch of exceptional drought (D4) persisted along and near the Rio Grande, but rain resulted in a general reduction in coverage of moderate to extreme drought (D1 to D3) in many other areas. Cotulla, Texas, in La Salle County, received 2.98 inches of rain from March 18-22. Closer to the Gulf Coast, however, March 1-24 totals included 0.22 inch in Corpus Christi and 0.01 inch in Rockport. Farther north near the coast, there was some expansion of moderate to severe drought (D1 to D2) in southeastern Texas. Meanwhile, there was no change in the drought depiction across Oklahoma’s panhandle, but the small area of abnormal dryness (D0) and moderate drought (D1) in southwestern Oklahoma was split into two pieces and reduced in size and intensity. Elsewhere, dryness persisted along and near the central Gulf Coast. D1 persisted across southeastern Louisiana, while D0 was slightly expanded…

Looking Ahead

In the West, showers will gradually diminish as the week progresses. By late Friday, a significant spring storm system will begin to intensify across the central Plains. The storm will move northeastward, reaching the northern Atlantic Coast on Monday. As a result, storm-total precipitation could reach 1 to 3 inches across large sections of the Midwest and Northeast. Accumulating snow may occur from the central High Plains (e.g. northeastern Colorado) into parts of the upper Great Lakes region, as well as northern New England. In contrast, mostly dry weather should prevail during the next 5 days across the southern High Plains and the southern Atlantic region, including Florida.

The NWS 6- to 10-day outlook for March 31 – April 4 calls for the likelihood of near- or below-normal temperatures in much of the eastern one-half of the U.S. and across the nation’s northern tier, except Maine. Warmer-than-normal weather can be expected in Maine, along with Florida, the Gulf Coast region, and an area stretching from California to the High Plains. Meanwhile, near- or below-normal precipitation across large sections of the country should contrast with wetter-than-normal conditions along the Canadian border from the northernmost Rockies into the upper Great Lakes region, and across the South from Texas to the southern Atlantic Coast.

US Drought Monitor one week change map ending March 24, 2020.

Prairie Research Could Help Farming Become More Resilient, Sustainable — Iowa Public Radio

TNC Platte River prescribed burn crew 2012. Platte River Prairies, Nebraska.

From Iowa Public Radio (May Mayer):

“Fire is a critical component to the landscape,” says Jesse Nippert, a professor at Kansas State, who is also the lead scientist for the Konza Prairie Long Term Ecological Research project, “because without fire, the grasses lose their dominance. Like, if you stopped burning this, the grasses would start to disappear.” Shrubs and eventually trees would take over.

Fire, climate and grazing are the primary drivers of the prairie ecosystem, Nippert says.

For decades, he and other scientists have probed the prairie, asking about its plants, animals, microbes and soil. What they learn can influence how we grow food and how the region adapts to a changing climate.

Controlling when, and how often, fire comes through certain sections of the prairie allows scientists to explore its impacts and importance. To understand climate, they have to get a bit more creative.

Leaving behind a perfect black polygon of scorched earth when the fire fizzles out, Nippert climbs into a Jeep and bounces up and down rutted gravel roads to a different section of prairie that wasn’t burned on this day.

“One of the climate change predictions for this region really wasn’t a change in total annual amount of precipitation,” Nippert says. “It was this idea that when it rains, it’s gonna be a bigger rain event, and then in between them we’ll remove a lot of those smaller rain events.”

He and his colleagues erect structures with metal tubing and plastic sheets that let them simulate those trends experimentally on certain plots.

“Even though they got the exact same amount of total water, how you package that water and deliver it matters,” Nippert says.

Lessons from the Dust Bowl

That’s something farmers in the Midwest are already experiencing. Heavy spring rains might delay or prevent them from planting their crops. Then it can dry up for weeks until a sudden heavy rain hits the dry soil. (Kansas State has an interactive map showing changes in precipitation by county over time here.)

Nippert’s colleague Melinda Smith, from Colorado State University, conducts prairie ecosystem research in Kansas, New Mexico, Colorado and Wyoming. Her work on Konza simulated drought conditions, mimicking the hot, dry years of the 1930s.

“What we were able to do is just pretty much replicate what happened during the Dust Bowl, but do it experimentally,” Smith says. “And we were able to see the same kind of responses.”

Those included the loss of certain plants and increasing amounts of others. Smith points to blue grama grasses, which are normally found at sites farther west than Konza but showed up here after her experiment.

“The only reason they’re in those plots is because we droughted them,” she says. “The fact that we could get even such a small-scale conversion of the [plant] community—it took several years for that to occur, but it did occur within the timeframe of our drought experiment—suggests to me that it could occur at a larger scale. And it was a surprising outcome.”

During the Dust Bowl, precious soil blew away, but the natural ecosystem of native plants recovered within about 20 years.

“The species that live here in the Great Plains, these native species, are tremendously resilient,” Nippert says. The farming practices of the early 20th century, however, were not sustainable.

In 1935, partially in response to the devastation of the Dust Bowl, President Franklin Roosevelt signed the Soil Conservation Act, which led to the creation of soil and water conservation districts. Still in action today, these groups promote practices such as reducing tillage, which keeps more soil in place…

Protecting cropland with prairie

“The idea was, can we be really smart about reintegrating Iowa’s native ecosystem to try to achieve our goals, as a state, for clean water and building soils and maintaining our native, wildlife populations in a way that had as little impact on the agricultural portions of the landscape as possible?” says Iowa State’s Lisa Schulte Moore, a member of the team that spent more than a decade developing prairie strips, small patches of native grasses and flowers integrated into farmland. The answer was an unqualified yes.

Schulte Moore says putting 10 percent of a field into prairie strips keeps 95 percent of the soil in place. The strips contain a mix of different native plant species, which are appropriate for the specific location.

“So if you have a cool year, if you have a wet year, if you have a drought year, that diversity conveys resilience,” Schulte Moore says. “You have some of those plants that are going to do well regardless of the kind of weather conditions that Mother Nature is throwing at it.”

Some of the prairie plants have stiff stems, too, which help protect the land when those intense rain events pour down because they slow the movement of the water. The prairie plants also have characteristic deep roots, which continue to grow throughout the year, year after year.

“You have biological function happening all year long that you just don’t in an annual system,” like row crops, Schulte Moore says.

Prairie strips proved so effective that they caught the attention both of farmers eager to try them and the U.S. Department of Agriculture. The 2018 farm bill added prairie strips to the Conservation Reserve Program, which is one of the federal government’s biggest efforts to improve the environmental quality of agricultural lands.

Still, farming in the Great Plains remains largely dependent upon annual monocultures: plants grown from seed each year, typically across wide swaths of land that may only rotate between two or possibly three crops.

From The Nature Conservancy (Chris Helzer):

If You Play With Fire…
There’s nothing playful about safe and effective prescribed burning. Too many things can go wrong to take it lightly. Sometimes, I think people see prescribed fire as something that needs to be done to maintain prairies, but they can’t necessarily point to specific objectives for a particular fire. Nor can they describe what kind of burning (season, intensity, size, ignition pattern) is needed to achieve those objectives. Falling into the trap of burning because it seems like the right thing to do leads to two big risks. First, there’s a good chance that the fires will not be conducted in a way (or at the right time of year) that do much good – and could even be counterproductive. Second, because prescribed fire can be a hazardous activity, conducting one without clearly defined reasons means taking big risks for no good reason.

A prescribed fire we conducted last week. This one went off without a hitch. Most of them do.. Nelson Winkel spraying backing fire. TNC Platte River prescribed burn crew 2012. Platte River Prairies, Nebraska.

We’ve completed two prescribed fires so far this spring. As always, we spend way more time planning our fires than implementing them. That planning starts with setting clear ecological objectives (defining why we’re burning in the first place) which dictate the location, size, season, and even the tactics used during the fire. Once we know what we’re aiming for, we write a burn plan that can help us achieve that in the safest way possible. Our plans detail the kinds of weather conditions and tactics needed to be successful, but also spend a lot of time on contingencies. What will we do if the fire gets away? What does the surrounding landscape offer in terms of safe areas and threats in the case of an escaped fire. How will we respond if someone gets hurt? For me, writing a good burn plan means thinking through all the worst case scenarios. There’s nothing fun about it.

Unfortunately, even after all that planning, things still go wrong. Last spring, I wrote about a burn we did in which we ran into repeated equipment issues, and had to shut down for a while until we could get re-equipped and complete the burn. In another fire last year, I overestimated the strength of our blackline containing the fire, and the wind-driven head fire jumped it in one place, forcing us to quickly chase it down. This spring, our first prescribed burn started out well, but the wind came up sooner than had been forecast, and we shut the fire down because a Red Flag Warning was issued. In all of those cases, there were no serious repercussions, and our training and planning helped us deal effectively with unexpected circumstances. Because we’d planned for each contingency, everyone knew how to react when the time came. No property was damaged and no one got hurt.

The threat of injury is what makes prescribed fire especially stressful for me. Between potential equipment mishaps and quickly-changing weather and fire conditions, there are numerous opportunities for someone to get hurt. So far, I’ve never had anyone get injured on a fire I’ve been a part of, but that fortunate record certainly isn’t making me complacent. As if I needed a reminder of the danger, one of our crew was helping a partner organization with a fire last week and suffered some slight burns on his neck and face while trying to extinguish a drip torch. After trying and failing to smother the flame at the tip of the torch with a gloved hand (per protocol) the crew member then tried to blow the flame out, and some of the burning torch fuel splattered onto the cotton bandana around his neck. Before he could get the bandana off of his head, he suffered small burns in several places. After a quick trip to a nearby medical clinic, he was fine – though he had to shave off the remainder of his singed beard.

It appears there were several things that contributed to the torch incident, possibly including some issues with the torch itself that caused excessive fuel to build up in the torch’s tip, making it particularly difficult to extinguish. After the fire was wrapped up there was considerable discussion about what happened, and hopefully we all learned some things that will make us all safer in the future. Regardless of the cause, however, the aspect of the event that struck me the most was that our crew member was injured doing something he had done hundreds of times before. It’s sobering to know that something as mundane as extinguishing a torch led to injury, and that it could have been much worse than it was.

Lighting the head fire of our prescribed burn last week. This was the easy part. The planning, training, weather monitoring, equipment preparation, and black-lining were all done. (Not pictured – the knot in my stomach). TNC Platte River prescribed burn crew 2012. Platte River Prairies, Nebraska.

I am a strong and vocal advocate for the use of prescribed fire to manage both private and public lands. On the other hand, prescribed burning is not a sport, it’s a tool, and it’s a tool that we should employ strategically – not for fun, or without specific objectives in mind. If someone can’t clearly explain what they’re trying to achieve by conducting a particular burn, I don’t know how they can justify taking the risk of dropping a match. In addition, if some doesn’t have a clear and detailed plan for how to ignite and contain a fire, and how to respond when things go wrong, I don’t think they have any business lighting that fire in the first place.

I know people that really enjoy conducting prescribed fires. Frankly, those people make me nervous, especially if they’re in charge. I don’t dislike prescribed burning, and I get a feeling of satisfaction whenever we wrap one up successfully – especially because I can appreciate the ecological benefits of doing so. But while there is active fire on the ground, there’s a knot in my stomach, and that knot subsides slowly, even after the last of the smoke has faded into the sky.

It’s fantastic that the use of prescribed fire is growing among prairie landowners and land managers. More importantly, the greatly increased availability of training and equipment means that we’re not only burning more acres, but we’re also more sophisticated – and hopefully safer – as we do so. However, things will still go wrong. Property will be damaged and people will get hurt. It can happen during even the simplest fires. That doesn’t mean we shouldn’t burn. It does, however, mean that we should burn only when it can be done safely and only when we can burn in ways that achieve important objectives. Otherwise, the risk can quickly outweigh the rewards.

Be safe out there…

You may be interested to read these previous posts about prescribed fire:

The importance of equipment redundancy in prescribed fire.

Why prescribed fire doesn’t contribute to global warming.